Labo intégré en sciences de la vie I
BIO-203
ANALYZE Results Lab 4
This page is part of the content downloaded from ANALYZE Results Lab 4 on Monday, 30 June 2025, 17:08. Note that some content and any files larger than 50 MB are not downloaded.
Description
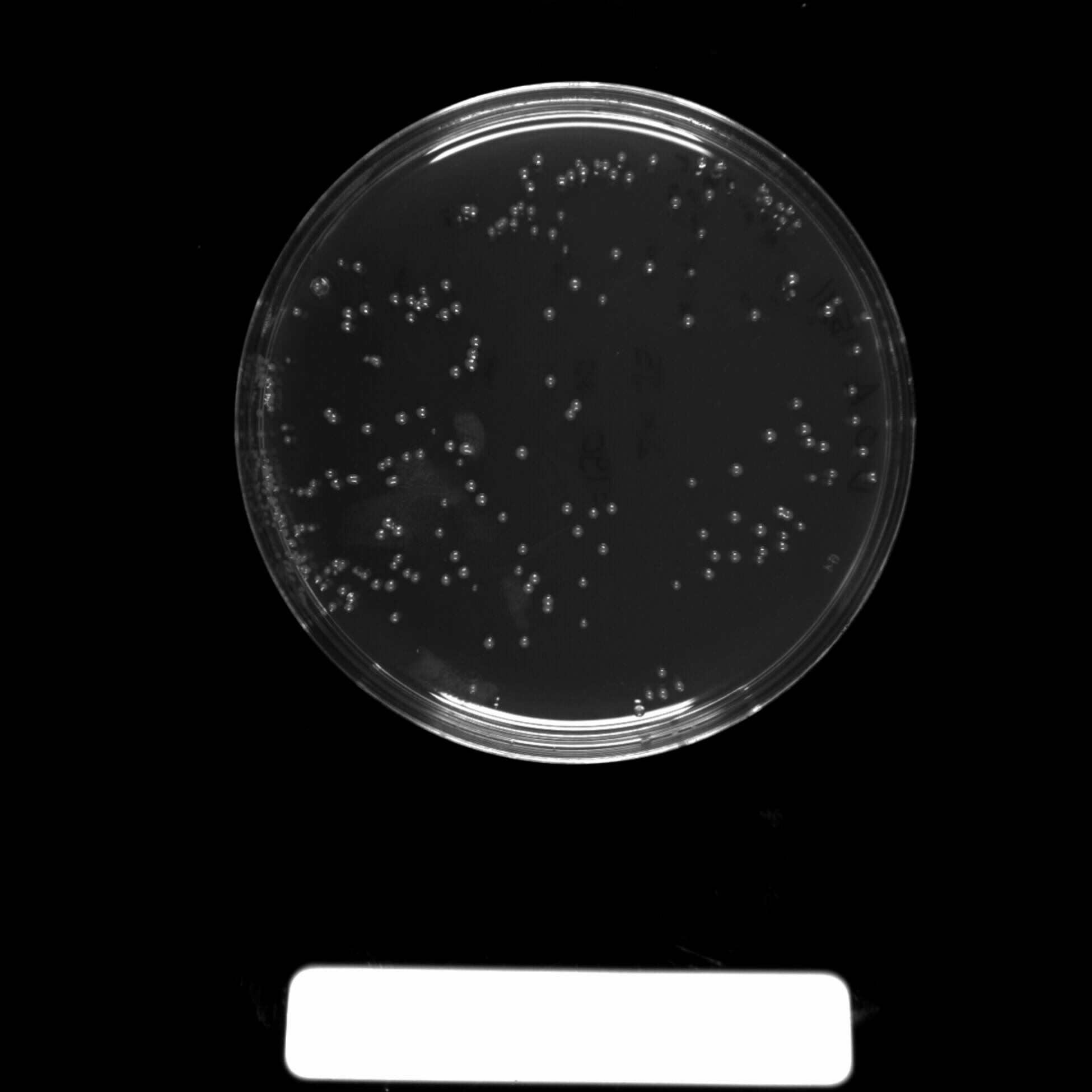
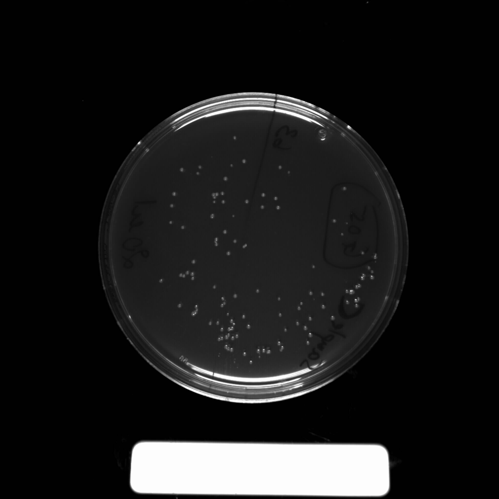
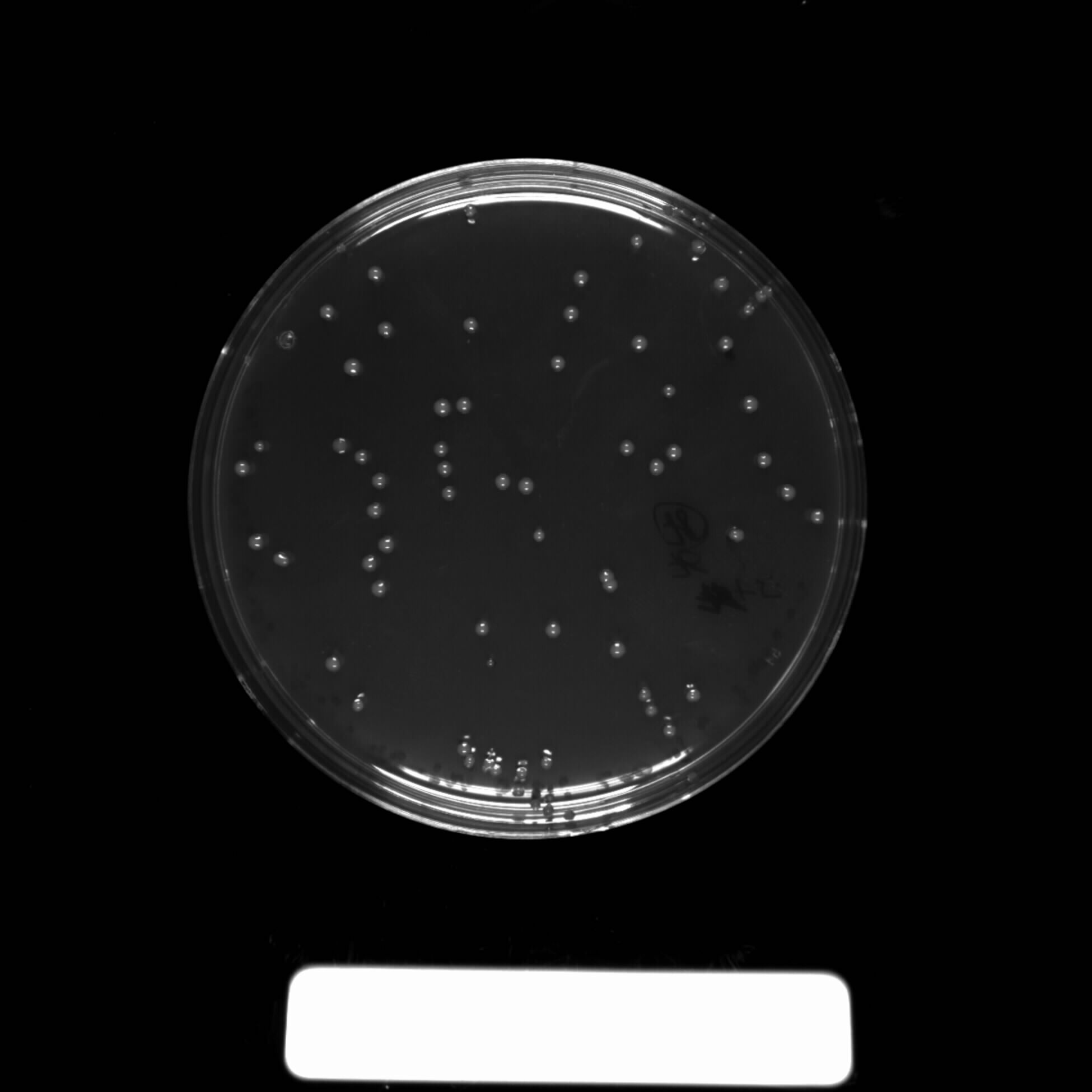
Determine transformation efficiency
In case the colonies on plate C (200 ul transformation plated) are too numerous to count, use the data from ONE of the control plates C with only 20 ul transformation plated:
- 285 colonies counted in one quadrant of the plate
- 478 colonies counted in one quadrant of the plate
Files and subfolders
- A01_A.JPG
- A01_B.JPG
- A01_C.JPG
- A01_mix.JPG
- A02 A 140 CONIES 1 QUADRANT.JPG
- A02 B 160 COLONIES HALF PLATE.JPG
- A02 C TOO NUMEROUS TO COUNT.JPG
- A02 MIX.JPG
- A03_A.JPG
- A03_B.JPG
- A03_C.JPG
- A03_Mix2.JPG
- A04-a.JPG
- A04-b.JPG
- A04-c.JPG
- A04-streak.JPG
- A05 - EL S6.JPG
- A05 - KX S6.JPG
- A05 A.JPG
- A05 B.JPG
- A05 C.JPG
- A05 LP S6.JPG
- A06 AH S6.JPG
- A06 IV S6.JPG
- A06 SP S6.JPG
- A07 A.JPG
- A07 B.JPG
- A07 C.JPG
- A07 MIX.JPG
- A08 A.JPG
- A08 B.JPG
- A08 C.JPG
- A08 MIX.JPG
- A09 A.JPG
- A09 B.JPG
- A09 C.JPG
- A09 CIBDY.JPG
- A09 LORIANE.JPG
- A09 MATISSA.JPG
- A10 A.JPG
- A10 APOLLINE.JPG
- A10 B.JPG
- A10 C.JPG
- A10 LOU.JPG
- A10 REBECCA.JPG
- A11 A 332 COLONIES 1 QUADRANT.JPG
- A11 A final.JPG
- A11 B 245 COLONIES TOTAL.JPG
- A11 C NOT POSSIBLE TO COUNT.JPG
- A12 A.JPG
- A12 B.JPG
- A12 C.JPG
- A12 MALO.JPG
- A13 B.JPG
- A13 C.JPG
- A13 MIX5.JPG
- A13-A.JPG
- A14 A.JPG
- A14 B.JPG
- A14 C.JPG
- A14 CR.JPG
- CONTROL C 20UL 285 COLONIES 1 QUADRANT.JPG
- CONTROL C 20UL 478 COLONIES 1 QUADRANT.JPG
- B-11-B.JPG
- B01-02.JPG
- B03-04-STREAK-.JPG
- B05A.JPG
- B05B.JPG
- B05C.JPG
- B05streak.JPG
- B07-200.JPG
- B07-A.JPG
- B07-B.JPG
- B07-C20.JPG
- B07-DILUTION.JPG
- B08-A.JPG
- B08-B.JPG
- B08-C-20.JPG
- B08-C-200.JPG
- B08-MIX6.JPG
- B09-0A.JPG
- B09-B.JPG
- B09-STREAK.JPG
- B1-STREAKS.JPG
- B10 A.JPG
- B10 B.JPG
- B10 C20.JPG
- B10 C200.JPG
- B10 STREAKS.JPG
- B11-A.JPG
- B11-C.JPG
- B11-D.JPG
- B12A.JPG
- B12B.JPG
- B12C.JPG
- B12D.JPG
- B12STREAK.JPG
- B13A.JPG
- B13B.JPG
- B13C20.JPG
- B13C200.JPG
- B13D1.JPG
- B13J1.JPG
- B13LL1.JPG
- B14_A.JPG
- B14_B.JPG
- B14_C20.JPG
- B14_C200.JPG
- B14_JULIE.JPG
- B14_MAT.JPG
- B14_ZORA.JPG
- B15A.JPG
- B15B.JPG
- B15C-.JPG
- B15C+.JPG
- B15STREAK.JPG
- B16A.JPG
- B16B.JPG
- B16C..JPG
- B16C.JPG
- B16STREAK.JPG
- c03 A.JPG
- c03 B.JPG
- c03 C.JPG
- c03 streaks.JPG
- C04 C.Jpg
- c04-A.JPG
- c04-b.JPG
- c04-streaking.JPG
- c05 A.JPG
- c05 B.JPG
- c05 C.JPG
- c07 streak.JPG
- c07 A.JPG
- c07 B.JPG
- c07 C.JPG
- c08 A.JPG
- c08 B.JPG
- c08 C.JPG
- c08 hk.JPG
- c09 a.JPG
- c09 b.JPG
- c09 c.JPG
- c09 mix2.JPG
- c1 a.JPG
- c1 b.JPG
- c1 c.JPG
- c1 spiie.JPG
- c10.JPG
- c10a.JPG
- c10b.JPG
- c10c.JPG
- c11 A.JPG
- c11 B.JPG
- c11 C.JPG
- c11 streak.JPG
- c12 A.JPG
- c12 B.JPG
- c12 C.JPG
- c12 Streak.JPG
- c13a.JPG
- c13b.JPG
- c13c.JPG
- c13strak.JPG
- c13streakfinal.JPG
- c14 a.JPG
- c14 b.JPG
- c14 c.JPG
- c14.JPG
- c15 A.JPG
- c15 B.JPG
- c15 C.JPG
- c15 streak.JPG
- c2 a.JPG
- c2 b.JPG
- c2 c.JPG
- c2 streak.JPG
- c6 A.JPG
- c6 B.JPG
- c6 C.JPG
- c6 esther.JPG
- D01 STREAKING.JPG
- D01A.JPG
- D01B.JPG
- D01C.JPG
- D02 STREAKING.JPG
- D02A.JPG
- D02B.JPG
- D02C.JPG
- D03 B.JPG
- D03 C20.JPG
- D04 A.JPG
- D04 B.JPG
- D04 C20.JPG
- D04 C200.JPG
- D04 STEAKING.JPG
- D05PA.JPG
- D05PB.JPG
- D05PC20.JPG
- D05PC200.JPG
- D05STREAK.JPG
- D07 STREAKING.JPG
- D07-A.JPG
- D07-B.JPG
- D07-C.JPG
- D07-CPRIME.JPG
- D08 A.JPG
- D08 B.JPG
- D08 C.JPG
- D08 STREAKING.JPG
- D09 A.JPG
- D09 B.JPG
- D09 C_20.JPG
- D09 C.JPG
- D09 STREAK.JPG
- D10A.JPG
- D10B.JPG
- D10C20.JPG
- D10C200.JPG
- D10MIX.JPG
- D11-A.JPG
- D11-B.JPG
- D11-C20.JPG
- D11-C200.JPG
- D11-STREAK.JPG
- D12-A.JPG
- D12-B.JPG
- D12-C20.JPG
- D12-C200.JPG
- D12.JPG
- D13A.JPG
- D13B.JPG
- D13C.JPG
- D13STREAK.JPG
- D14A.JPG
- D14B.JPG
- D14C.JPG
- D14STREAK.JPG
- D3 200C.JPG
- D3 A.JPG
- D3 STREK.JPG
- D6 PA.JPG
- D6 PB.JPG
- D6 PC 20.JPG
- D6 PC 200.JPG
- D6 STREAKING.JPG
- D8 C.JPG